Ortodonzia

Articoli, casi clinici e video

Ortodonzia

  • 27 Febbraio 2019
  • Dr. Pietro Leone

Non proprio per tutti, ma quasi. Mai più antiestetici apparecchi fissi.

Ortodonzia invisibile Napoli

Guarda il video


Ortodonzia Intercettiva


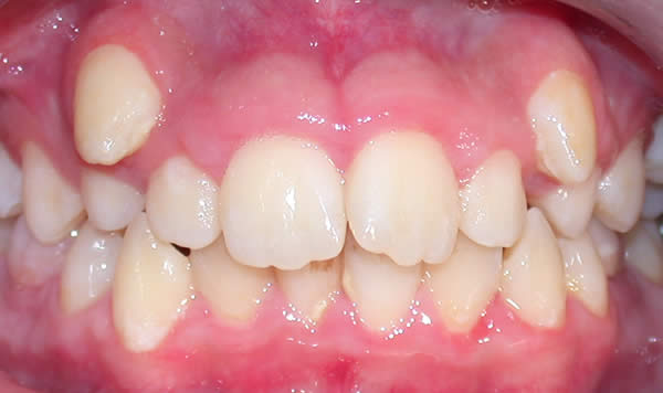
L'ortodonzia è preventiva e intercettiva quando l'intervento terapeutico svolto in età precoce, durante gli stadi più attivi della crescita dentale e dello scheletro cranio-facciale, tende a eliminare i fattori responsabili delle malocclusioni dentarie. Si rende così possibile un allineamento dentale corretto, sfruttando le forze naturali dello sviluppo e ottenendo un equilibrio funzionale prima della completa eruzione dei denti permanenti.


Ortodonzia Invisibile - Ortodonzia linguale


Oggi hai un'alternativa all'interno della bocca all'apparecchio esterno tradizionale, davvero invisibile e impercettibile perché individualizzato con i più moderni sistemi CAD/CAM. LINKvideo e Casi Clinici ortodonzia linguale
Guarda il video


Ortodonzia Funzionale - Ortopedia dei mascellari


Il nostro principale obiettivo è di riabilitare alla funzione il sistema della masticazione. I condili della mandibola sono aree importanti per la crescita dello scheletro cranio-fracciale perchè, oltre ad avere un grande potenziale di adattamento funzionale, attraverso la loro stimolazione si può modificare la direzione e la velocità di crescita anche di tutto il complesso cranio-facciale. Ciò è reso possibile attraverso l'utilizzo di apparecchi interni alla bocca indicati soprattutto nella correzione della malocclusione di classe II e di classe III.


Ortodonzia dei denti inclusi


Ci avvaliamo delle più moderne tecniche di imaging per la localizzazione e di ancoraggio con miniviti per il recupero dei denti inclusi.


Ortodonzia dei denti inclusi

Ortodonzia dei denti inclusi

Esempi di casi clinici


Ortodonzia dei denti inclusi

Ortodonzia dei denti inclusi

Inclusioni dentarie: il trattamento dei canini inclusi palatalmente

Studio Leone

© 2021. «powered by Dentisti Italia». E' severamente vietata la riproduzione,
anche parziale, delle pagine e dei contenuti di questo sito.

dentisti-italia.it